Slider B

Flexibilität in der Prothetik

VALPLAST®

Erleben Sie mit Valplast und Ritter – Dental München die neue Welt der flexiblen Prothetik. Valplast ist ein flexibles Prothesenmaterial aus hochreinem Nylon und bietet hervorragende Trageeigenschaften bei gleichzeitig unübertroffener Ästhetik.


✆ Unverbindlicher Kostenvoranschlag

  • Valplast

    Die Valplast-Prothese bietet eine harmonische Ästhetik und hält ohne Metallklammer.

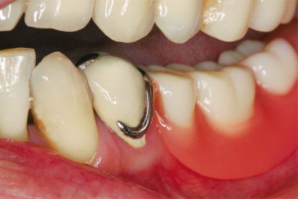
  • Valplast (ohne)

    Die Metallklammern der Modellgussprothese sind im Mund deutlich sichtbar.

Anwendungsbereiche

  • Teilprothese als hochwertige Alternative zum Modellguss
  • Interims – und Immediatversorgung, besonders bei Implantatpatienten
  • Langzeitprovisorium
  • Provisorische Einzelzahnversorgung


Empfehlen Sie Ihren Patienten einen in vielfacher Hinsicht flexiblen Zahnersatz und seien Sie damit einen Schritt voraus.

Eigenschaften und Vorteile von Valplast

Vorteile VALPLAST - metallfreier Zahneratz

Treten Sie mit uns in Kontakt

Gerne helfen wir Ihnen zum Thema Valplast weiter.

Hier finden Sie unsere Datenschutzerklärung. Ich stimme zu, dass meine Angaben zur Kontaktaufnahme verwendet werden. Ich kann meine Einwilligung jederzeit für die Zukunft per Mail an Diese E-Mail-Adresse ist vor Spambots geschützt! Zur Anzeige muss JavaScript eingeschaltet sein! widerrufen.